تفاوت واکنش استرسی در برابر شکستگی استرسی (ترکخوردگی تنشی)
اطلاعاتی که در ادامه میآیند میتوانند برای درک اینکه چه زمانی به ملاقات پزشک بروید و پیشگیری از تجربه یک مصدومیت جدیتر در آینده، به شما کمک کنند.
بررسی علمی توسط: دکتر محمد آلی (دکترای فیزیولوژی)
🧾فهرست مطالب
بسیاری از دوندگان گاهی دردهایی در نقاط مختلف بدن خود احساس میکنند، بهویژه وقتی مسافت دویدن افزایش مییابد. اغلب اوقات، با استراحت، تمرینات قدرتی و روشهای ریکاوری، میتوان این ناراحتیها را برطرف کرد. اما نوعی از آسیبها که معمولاً باعث میشوند دوندگان، دویدن را کنار بگذارند، آسیبهای استرسی (آسیبهای ناشی از فشار دویدن) استخوان هستند. تحقیقات نشان میدهد این آسیبها بین یکسوم تا دوسوم دوندگان رقابتی دوی صحرانوردی و استقامتی رخ میدهند.
در دوندگان، این آسیبها اغلب در تیبیا (استخوان درشتنی جلو ساق) رخ میدهند، اما میتوانند در سایر بخشهای پایینتنه مانند پا، ران و استخوانهای لگن نیز ایجاد شوند. دکتر تاد مکگراث، پزشک متخصص پزشکی ورزشی در بیمارستان تخصصی نیویورک در ادامه برای این مدل آسیبهای دویدن به ما کمک خواهد کرد تا درک بهتری از این نوع آسیبها پیدا کنیم.
در این مقاله، همه موارد مورد نیاز درباره آسیبهای استرسی استخوان توضیح داده شده است؛ شامل تفاوت بین واکنش استرسی و شکستگی استرسی (ترکخوردگی تنشی)، علل ایجاد واکنش استرسی، علایم، زمان مراجعه به پزشک و مهمتر از همه، راههای جلوگیری از پیشرفت آسیب.
دقت داشته باشید Stress Fracture را میتوان به عناوین مختلفی ترجمه کرد از شکستگی تنشی گرفته تا شکستگی استرسی یا ترکخوردگی تنشی یا استرسی. در اینجا منظور از استرس، این است که دویدن باعث اعمال فشار یا استرس به آن ناحیه شده است و ترکخوردگی (نه شکستگی کامل -اصطلاحاً مویی) رخ داده است؛ بنابراین در ترجمهها از انواع اصطلاحات استفاده خواهد شد.
تفاوت بین واکنش استرسی و شکستگی استرسی
طبق توضیح نیکول هاس (فیزیوتراپیست) “آسیبهای استرسی استخوان زمانی رخ میدهند که استخوان توان تحمل فشار یا بار وارده بر آن را نداشته باشد و در نتیجه دچار اختلال ساختاری شود”.
در واکنش استرسی، استخوان ممکن است ضعیف و متورم شود اما در واقع مانند مورد شکستگی تنشی، نمیشکند یا اصطلاحاً ترکخوردگی مویی اتفاق نمیافتد. مکگراث در این باره توضیح میدهد که اگر واکنش استرسی درمان نشود، میتواند منجر به ترکخوردگی استخوان شود و در آن زمان به شکستگی استرسی تبدیل میشود. بنابراین واکنش استرسی در واقع مرحله مقدماتی شکستگی استرسی است.
- $99.99
-10%
پکیج کامل کتابهای دویدن فروشگاه (PDF)
قیمت اصلی 2,435,000 تومان بود.2,199,000 تومانقیمت فعلی 2,199,000 تومان است. افزودن به سبد خرید - $16.99
کتاب علم دویدن مصور DK (PDF)
369,000 تومان افزودن به سبد خرید - $4.99
-13%
کتابچه 52 هفته، 52 تمرین برای بهبود سرعت، رکورد و عملکرد دوندهها (pdf)
قیمت اصلی 79,000 تومان بود.69,000 تومانقیمت فعلی 69,000 تومان است. افزودن به سبد خرید
جان واسودوان، پزشک و مدیر برنامه پزشکی ورزشی استقامتی در Penn Medicine، در این زمینه اضافه میکند که “آسیبهای استرسی اغلب شامل انواع متفاوتی میشوند؛ بنابراین گاهی تشخیص تفاوت بین یک واکنش استرسی شدید و یک شکستگی استرسی اولیه دشوار است.
دلایل واکنشهای استرسی
شایعترین علت واکنش استرسی، افزایش ناگهانی حجم تمرین بدون استراحت کافی است، به گفته هاس، چنین شرایطی میتواند استخوانها را بیش از حد تحت فشار قرار دهد.
حالا شاید سوالی که ذهن دونده را درگیر کند این باشد که، چه مقدار افزایش مسافت، به معنی خیلی زیاد است؟ مکگراث در جواب میگوید: “افزایش مسافت بیش از ۱۰ تا ۲۰ درصد در هفته، بسته به سطح آمادگی جسمانی و حجم هفتگی دویدن، میتواند خطر آسیب را بالا ببرد.”
بهعنوان مثال، اگر هفتهای 16 کیلومتر میدوید، افزایش ۲۰ درصدی در هفته ممکن است مشکلی نداشته باشد. اما اگر هفتهای 160 کیلومتر میدوید، بهتر است افزایش هفتگی را به ۱۰ درصد محدود کنید. تحمل بدن شما بسته به سطح آمادگی جسمانی و عوامل دیگر متفاوت است.
هشدار: دقت داشته باشید درصدهای ارائه شده در بالا، باید براساس صدای بدن، شخصیسازی شوند. اگر احساس کردید 10 درصد افزایش برای شما باعث واکنشهای دردناکی میشود؛ در واقع بدن شما به شما هشدار میدهد که به این سیگنالها توجه کنید در غیر این صورت، مصدوم میشوید. همانطور که در کتاب علم دویدن اوون اندرسون هم آمده است، این مقدار افزایش که در گذشته پایه افزایش مسافت هفتگی تصور میشد، نباید به شکل کورکورانه از آن تقلید شود، بلکه باید براساس صدای بدن و تاریخچه تمرینی دونده، بازنگری شود.
نکته: دویدن تنها راه اعمال فشار به استخوانها نیست. فعالیتهای دیگری مانند پیادهروی سریع طولانی یا شرکت در ورزشهای تیمی میتواند بار اضافی روی استخوانها ایجاد کند.
همچنین بیومکانیک نادرست بدن میتواند خطر واکنش استرسی را افزایش دهد. هاس در این باره میگوید: «خصوصاً گامبرداری از نوع بیش از حد بلند میتواند نیروی واکنش برگشتی زمین (اساساً، این به معنی این است که در هر فرود پا، چقدر نیرو به زمین اعمال شده و به بدن بر میگردد) را افزایش دهد و استخوانها را تحت فشار بیشتر قرار دهد.”
مشکلات تغذیهای نیز عامل دیگری هستند. مکگراث توضیح میدهد: “اگر بدنتان انرژی کافی به خاطر تغذیه ضعیف نداشته باشد، بدن از منابع استخوان برای تأمین انرژی استفاده میکند و استخوان را ضعیفتر میکند.” افرادی که با کمبود انرژی نسبی در ورزش(RED-S) مواجهاند، بهویژه زنان ورزشکار با تغذیه ناکافی مزمن، بیشتر در معرض این آسیبها هستند.
برای مقابله با عوامل تغذیهای باید کالری کافی، کلسیم، ویتامین D و پروتئین کافی در برنامه غذایی وجود داشته باشد. عدم تعادل هورمونی نیز بهویژه در نوجوانان و زنان پس از یائسگی میتواند خطر آسیب استخوانی را افزایش دهد.
نشانههای واکنش استرسی و نحوه تشخیص آنها
شناخت نشانههای واکنش استرسی به شما کمک میکند زمان مراجعه به پزشک را تشخیص دهید.
یک علامت مهم واکنشی استرسی به این شکل است: دردی که در هنگام دویدن ظاهر یا شدیدتر میشود و با استراحت بهبود مییابد. مکگراث میگوید: “گاهی درد فقط هنگام پیادهروی احساس میشود و با شدیدتر شدن واکنش، به ناراحتی مزمن در ناحیهای خاص تبدیل میشود.”
اما آسیبهای بافت نرم ناشی از استفاده بیش از حد مانند تاندونیت، باعث درد طولانیمدت بعد از فعالیت میشوند، و صبحها با احساس خشکی و گرفتگی همراهاند، در حالیکه پیچخوردگیها و کشیدگیهای عضلانی معمولاً نتیجه یک آسیب ناگهانی و شدید هستند و با توجه به شرح ماجرایی که منجر به درد شده میتوان آنها را از هم تفکیک کرد.
مشکلات تاندونی هم معمولاً با شروع فعالیت و گرمشدن بدن، بهتر میشوند، اما واکنشهای استرسی با ادامه فعالیت بدتر میشوند.
یکی دیگر از نشانههای واکنش استرسی این است که درد معمولاً «نقطهای» است؛ یعنی میتوانید با یک انگشت، دقیقاً محل درد را نشان دهید، نه اینکه دستتان را روی ناحیه وسیعی بکشید. همچنین اگر فشاردادن روی یک استخوان باعث ایجاد یا تشدید درد شود، این هم میتواند نشانه احتمالی واکنش استرسی باشد.
نشانههای ظاهری زیادی وجود ندارد، اما در برخی موارد – بهویژه اگر واکنش استرسی در استخوانهای پا (کف پا) باشد – ممکن است اطراف ناحیه حساس کمی تورم مشاهده شود.

زمان مراجعه به پزشک
در صورت شک به واکنش استرسی، باید زودتر به پزشک مراجعه کنید تا از تبدیل آن به شکستگی استرسی جلوگیری شود. هاس توصیه میکند: اگر دو هفته گذشته و درد با هر دویدن شدیدتر یا گستردهتر شده است، به پزشک مراجعه کنید.
یکی دیگر از نشانهها برای ملاقات با یک پزشک، دردی است که با استراحت بهبود مییابد؛ ولی با شروع دویدن دوباره باز میگردد.
مکگراث توصیه میکند: افرادی که هنگام افزایش حجم یا شدت دویدن، درد استخوانی احساس میکنند، باید توسط پزشک بررسی شوند.
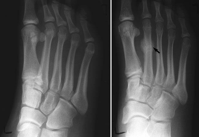
زمانی که به ملاقات پزشک متخصص رفتید، روشهایی برای تشخیص واکنش استرسی روی ناحیه موردنظر انجام میشود. در بعضی موارد، آنها ممکن است براساس معاینه یا تاریخچه پزشکی-ورزشی شما، تشخیص را انجام دهند یا اینکه برای ناحیه حساس به لمس و دردناک، یک تصویربرداری ایکس-ری تجویز کنند تا ببینند آیا نشانههایی از تغییرات استخوانی که نشانگر واکنش استرسی باشد وجود دارد یا نه؛ همچنین از التراساند نیز برای بررسی بهتر استفاده میشود. در مراحل پایانی، اگر پزشک نتواند تشخیص قطعی انجام دهد، ممکن است از امارای استفاده شود.
پیشگیری از تبدیل واکنش استرسی به شکستگی استرسی
هیچ دوندهای دوست ندارد به او گفته شود که دویدن را متوقف کند. اما در صورت شک به واکنش استرسی، بهترین کار این است که قبل از ارزیابی پزشکی، مدتی دویدن را متوقف کنید.
هاس میگوید: “آسیبهای استرسی استخوانی یکی از اندک آسیبهایی هستند که من به دوندگان توصیه میکنم در صورت احتمال وقوع آنها از دویدن دست بکشند.” ادامه فشار روی استخوان آسیبدیده، مشکل را بدتر میکند و میتواند منجر به موارد پیچیدهتر جدی و طولانیمدتتر شود.
اگر با شکستگی استرسی، همچنان دویدن را ادامه دهید، استخوان ترمیم نمیشود، و ممکن است به شکل بالقوهای شکستگی گسترش یافته و حتی باعث جابجایی شکستگی شده و نیاز به جراحی داشته باشید.
واسودوان میگوید: “من به دوندهای که به من مراجعه کرده است، تاکید میکنم که: با “یک تا دو هفته استراحت کند و تمرینات کراس-تراینینگ را انجام دهد، تا از دوری شش تا هشت هفته از توقف تمرینات دویدن، پیشگیری کند.”
اگر به واکنش استرسی مشکوک هستید، لازم نیست در این مدت کاملاً بیحرکت بمانید و فقط روی مبل استراحت کنید. تا زمانی که با استراحت نسبی وضعیت بهتر میشود، لازم نیست کاملاً آن را بیحرکت کنید یا اصلاً روی آن وزن اعمال نکنید. بلکه فقط از فعالیتهایی که درد را تشدید میکنند خودداری کنید و بهطورکلی کمی آرامتر به پیش بروید و صدای بدن را اولویت قرار دهید.
این یعنی احتمالاً باید از دویدن، پریدن، پیادهروی طولانی و تمرینات پلایومتریک دوری کنید و به جای آن سراغ فعالیتهای با اعمال فشار کم و بدون فشار روی بدن بروید؛ مثل شنا، دوچرخهسواری، دویدن در آب عمیق، یوگا و پیلاتس. تمرینات قدرتی هم معمولاً مجاز هستند، به شرطی که شامل بلندکردن وزنههای سنگین در حالت ایستاده یا همراه با تحمل وزن روی ناحیه آسیبدیده نباشند.
اگر مثل بیشتر دوندگان باشید، احتمالاً استراحتکردن در ذاتتان نیست؛ اینطور به ماجرا نگاه کنید: با یک وقفه نسبتاً کوتاه در تمرینات، میتوانید از یک توقف طولانیتر در آینده جلوگیری کنید.
سوالات رایج شکستگی استرسی و واکنش استرسی در دوندهها
در واکنش استرسی، استخوان ممکن است ضعیف و متورم شود اما در واقع مانند مورد شکستگی تنشی، نمیشکند یا اصطلاحاً ترکخوردگی مویی اتفاق نمیافتد.
یک علامت مهم واکنشی استرسی به این شکل است: دردی که در هنگام دویدن ظاهر یا شدیدتر میشود و با استراحت بهبود مییابد. یکی دیگر از نشانههای واکنش استرسی این است که درد معمولاً «نقطهای» است؛ یعنی میتوانید با یک انگشت، دقیقاً محل درد را نشان دهید، نه اینکه دستتان را روی ناحیه وسیعی بکشید. همچنین اگر فشاردادن روی یک استخوان باعث ایجاد یا تشدید درد شود، این هم میتواند نشانه احتمالی واکنش استرسی باشد.
بعد از تجربه علائم واکنش استرسی، باید فورا به پزشک مراجعه کنید؛ چون هر چه دیرتر به پزشک بروید و همچنان به دویدن با واکنش استرسی ادامه دهید، احتمال تجربه شکستگی تنشی یا ترکخوردگی تنشی در آنها افزایش خواهد یافت.
پایبندی به اصولی مانند گرمکردن مناسب، افزایش مسافت|شدت|زمان تمرینی براساس صدای بدن و سازگاری تدریجی، داشتن رژیم تغذیهای کافی و مناسب و خواب مناسب شبانه و سبک زندگی سالم، همگی جزو ارکان ثابت و مهم پیشگیری از هر مصدومیت و حتی واکنش استرسی هستند.













